胸部CT正常表现

发布时间: 2021-07-16 15:58:49

胸部CT是一种X线成像技术,但是与X线不同,CT成像是一种模拟图像,像素的密度可以通过测量CT值量化反映。与普通X线比较,CT检查在病变的定性与定量诊断中都具有更大的优势,在临床中主要的应用有:

  1. 肺实质性病变,包括:肺结节和肿块、肺内渗出和实变性病变、肺不张、肺气肿、各种类型的肺内空腔性病变的诊断、评价与随访。

  2. 肺间质性病变的诊断、评价与随访。

  3. 支气管病变的诊断、评价与随访。

  4. 肺血管病变诊断、评价与随访。

  5. 纵隔与淋巴结病变的诊断、评价与随访。

  6. 胸膜腔病变的诊断、评价与随访。

  7. 胸壁与胸廓骨病变的诊断、评价与随访。

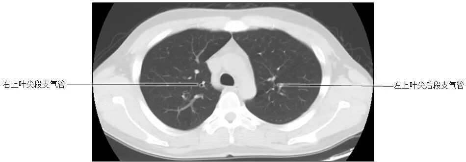
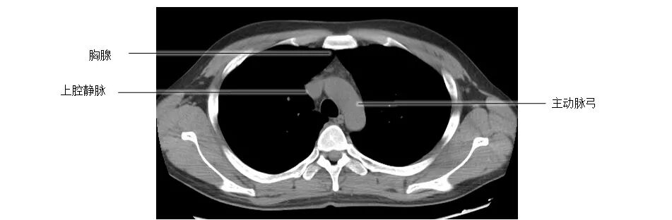
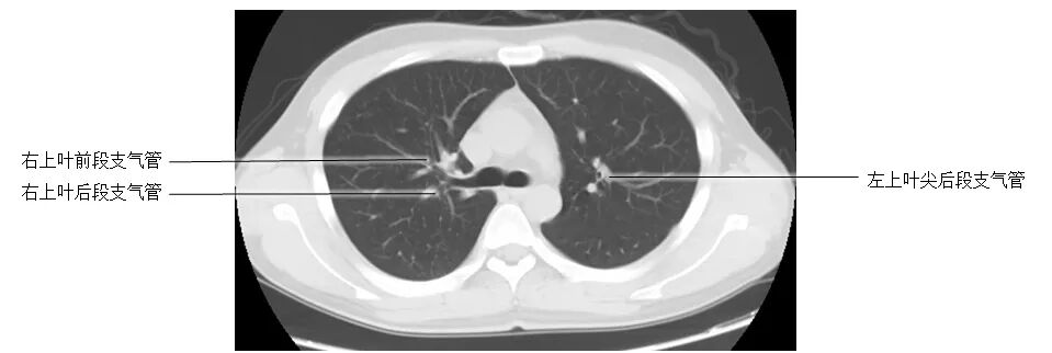
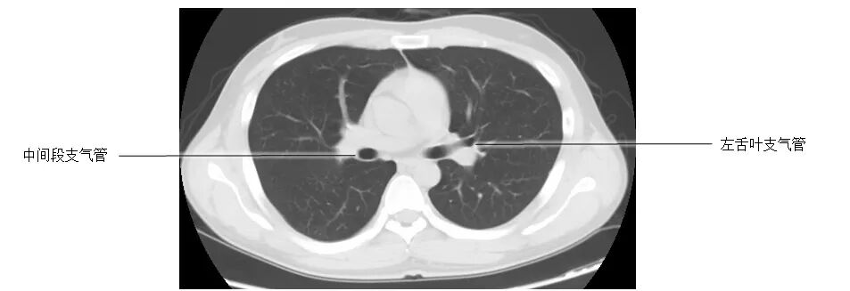
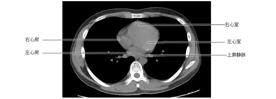
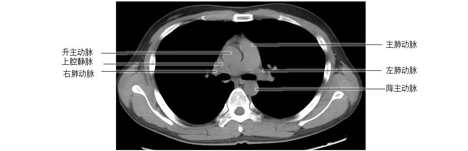
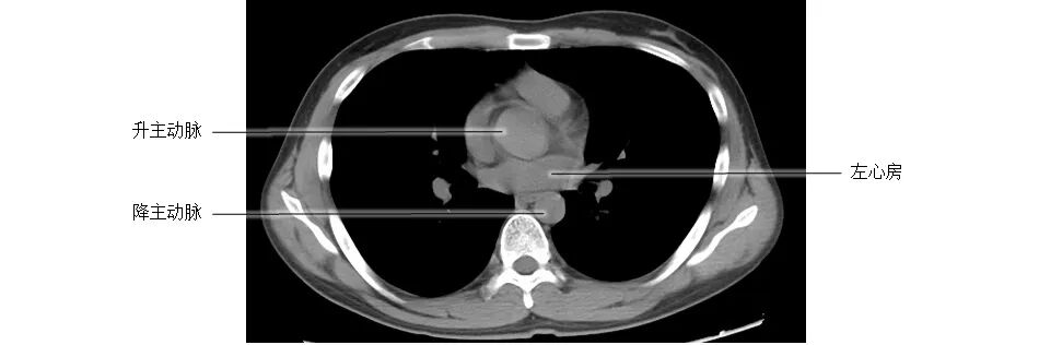
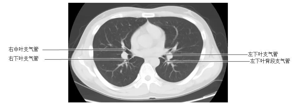
正常胸部CT影像是从横断面显示解剖和病变,可显示的结构包括胸廓、气管和支气管、肺、胸膜、纵隔和膈,CT的重建图像可从各个角度显示胸部解剖情况。不论采用何种图像显示方式,把握基本解剖结构都是必不可少的,一起学习胸部CT肺窗和纵隔窗的正常解剖。

胸部CT肺窗

胸部CT纵膈窗